10年・20年と経過した時に、
後悔しない矯正治療をお約束します。
矯正治療が身近になった今だからこそ、矯正を専門とする歯科医師の重要性が増していると感じます。当院では矯正医による矯正治療のみならず、歯科医師と連携を取りながら、矯正専門の良さと総合歯科の良さを掛け合わせた診療を行っています。
このようなお悩みはありませんか?
-
歯並びが気になって口元を隠してしまう
歯並びが気になって思わず口元を隠して、笑顔になれない。そのようなお悩みを歯列矯正で解決します。 -
他人にどう見られているか気になる
どう見られているか気になるのは、過去の嫌な記憶から連想されます。矯正によって、そのコンプレックスを解消します。 -
装置が目立つのが不安で踏み出せない
マウスピース型の矯正装置やホワイトワイヤーを使った目立たない矯正装置を用いた治療が可能です。 -
歯肉退縮(歯茎が下がる)が不安
歯肉退縮を起こさないような治療計画、万が一起こってしまった場合のリカバリーにも対応しています。ご安心ください。 -
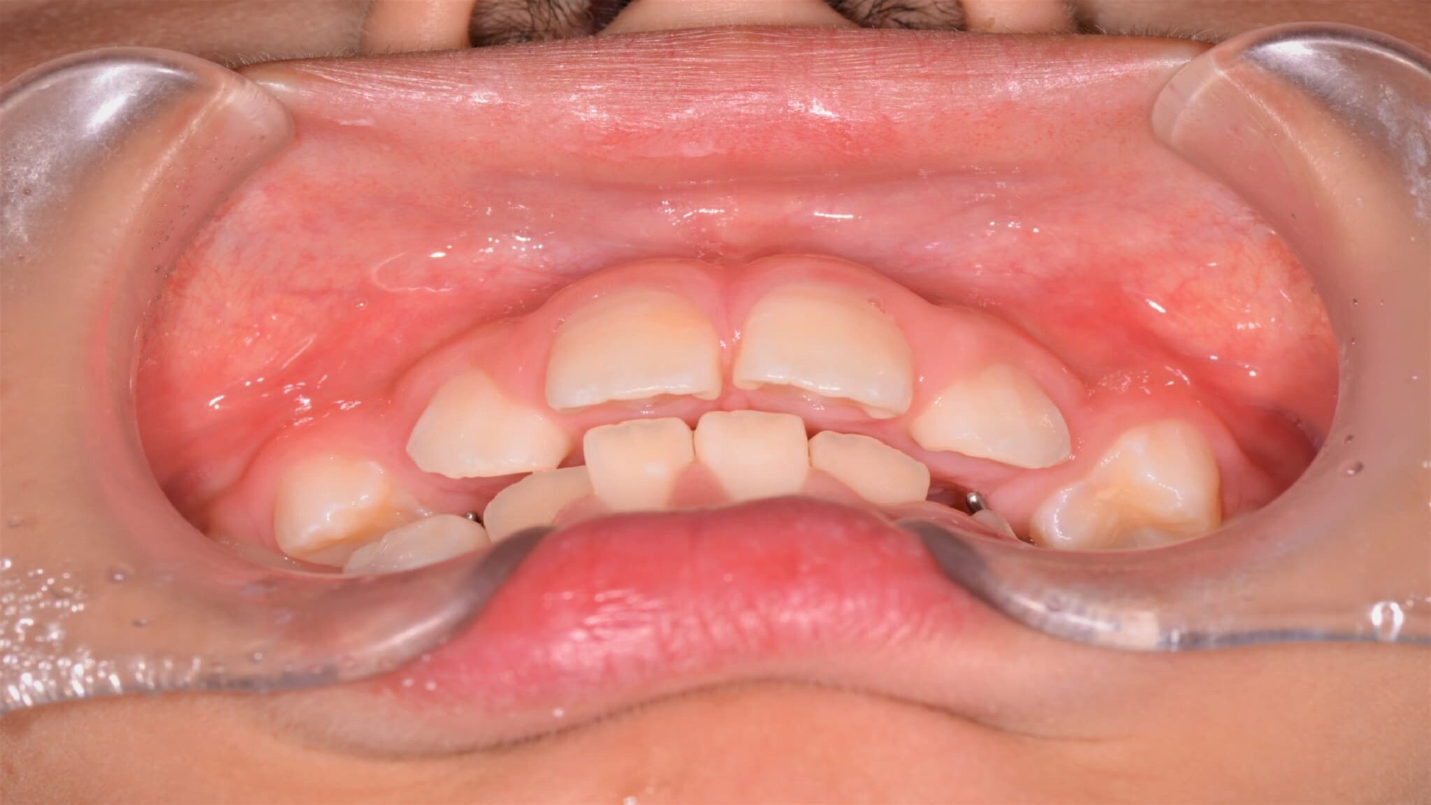
矯正を始めるタイミングがわからない
適切なタイミングを逃したお子さまが無用な抜歯矯正をするケースが増えています。お早めにご相談ください。 -
別々の歯科に通うのが面倒くさい
一般歯科と矯正治療で別々の歯科に行くのは治療計画が統一されないリスクがあります。当院は双方をワンストップで行います。
特徴
- 通算1,000人を超える治療実績
- 「機能美」を実現するための診査診断
- カウンセリングと説明を大切にしています
- 矯正以外の治療にも対応しています
- 矯正相談・セカンドオピニオン
通算1,000人を超える治療実績
白鳥は矯正医として治療を行い、通算1,000人を超える矯正治療を行ってまいりました。患者様のために常に学び続ける姿勢で、現在では全国から講演依頼が来るほどの矯正医になりました。エビデンスに則った確かな治療を提供致します。
「機能美」を実現するための診査診断
見た目だけを考慮する矯正治療が、将来歯を失うことにつながるとは誰も想像しませんが、現実に起こっている問題です。当院では長期的に見た目も噛み合わせも良い状態を長持ちさせる「機能美」を大切にしています。そのため、診査診断(検査)はとても重要ですし、違いが出ます。
カウンセリングと説明を大切にしています
矯正治療は一般的な歯科治療に比べて高額になるだけでなく、口元の印象が大きく変わるため、互いの信頼関係が治療の成功に関わります。そのため、当院ではカウンセリングと説明を大切にし、患者様に納得して治療を進めてもらえるように最大限の配慮をしています。
矯正以外の治療にも対応しています
白鳥は矯正医でありながら、審美歯科・歯周形成外科・歯周病治療・インプラントなどあらゆる治療に対応する稀有な存在です。矯正治療のリスクである歯肉退縮やブラックトライアングルのリカバリーにも対応でき、必要に応じて別の治療との組み合わせにも対応いたします。
矯正相談・セカンドオピニオン
矯正治療を始める前に相談を承っています。気になることを解決してから治療に進むことができるのは当院の特徴です。他院で矯正治療を検討していたけど、より良い診断・治療方針を求めている方のセカンドオピニオンにも対応してますので、お気軽にご活用いただけたらと思います。
対応できる矯正治療
-
成人・小児対応ワイヤー矯正最もオーソドックスでエビデンスの豊富な治療法です。あらゆる症例に対応します。場合によってはマウスピース矯正と組み合わせることもあります。
-
成人矯正マウスピース矯正当院のマウスピース矯正ではインビザラインを用いています。ワイヤーと組み合わせることによって様々な症例に対応することが可能になります。
-
成人矯正インプラント矯正大きな移動が必要な重度の不正咬合の症例などに用います。インプラントを固定源とすること効率的に歯の移動ができ、治療期間を短縮する効果もあります。
-
小児矯正(1期矯正)床矯正・拡大床顎の成長を促し、歯が並ぶスペースを作ります。見た目の仕上げには2期矯正が非通用な場合もありますが、抜歯を回避できます。
-
小児矯正(1期矯正)マウスピース型装置プレオルソなどのマウスピース型装置に対応しています。お子さまに応じて、床矯正や拡大床も含めて最適な装置を選択していきます。
-
リカバリー治療後戻りの矯正治療矯正治療後に後戻りしてしまった場合のリカバリー治療に対応しています。後戻りの原因を調べて、根本的に改善していきます。
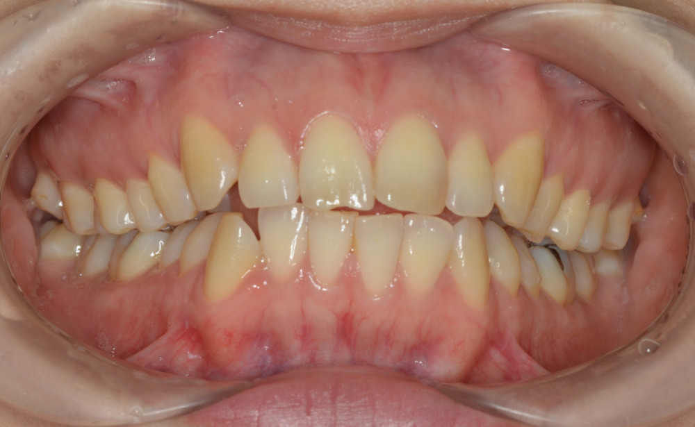
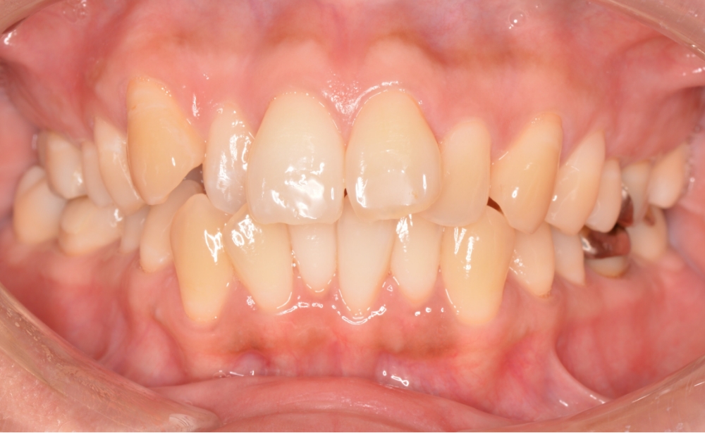
症例紹介
治療の流れ
-
カウンセリング 01
まずはお電話にてご予約を承り、初回にカウンセリングを行います。
治療の流れや特徴についてご説明いたします。
気になる点やご希望がありましたら、遠慮なくお話しください。 -
精密検査 02
お口の状態を正確に把握するため、精密検査を行います。
CT・レントゲン撮影、歯型の採取、口腔内およびお顔の写真撮影、虫歯・歯周病のチェックなどを実施します。
もし虫歯や歯周病が見つかった場合は、矯正治療に入る前に必要な治療を行います。 -
治療計画のご説明 03
検査結果をもとに、最適な治療計画を立案いたします。
治療方法や期間、費用などについて丁寧にご説明し、内容をご理解・ご納得いただいてから治療を進めます。 -
治療開始 04
決定した治療計画に則って治療を行います。
経過観察として1ヶ月〜2ヶ月に1回の来院をお願いしています。
治療期間の目安は平均で1〜2年程度です。 -
治療終了と保定期間 05
歯並びが整った後は、後戻りを防ぐためにリテーナー(保定装置)を装着します。
治療完了後、約1年間は就寝時のみ使用していただきます。
また、3〜6カ月に一度はご来院いただき、歯並びの確認やクリーニングを行います。
料金
-
矯正相談
-
お口の中を拝見し、治療の期間や費用、費用などについて充分な時間をかけてご説明させていただきます。必要があればレントゲンを撮影します。初回矯正相談無料
-
セカンドオピニオン無料
-
-
検査・診断
-
歯の型、頭蓋骨のレントゲン、顔や口の中の写真を撮ります。全顎矯正検査・診断料45,000円
-
歯の型、頭蓋骨のレントゲン、顔や口の中の写真を撮ります。部分矯正検査・診断料5,000円
-
-
マウスピース型矯正装置(各装置料込み)
-
上下顎の全顎矯正(マウスピース型矯正装置5年間)800,000円
-
上下顎の全顎矯正(マウスピース型矯正装置5年間にワイヤーを用いる場合)850,000円
-
再作費費用となります。軽度の部分矯正(前歯のみの審美的な改善、マウスピース4枚以内)150,000円/300,000円
-
再作費費用となります。軽度の全顎矯正(マウスピース24枚以内)150,000円/600,000円
-
-
ワイヤーを用いる矯正(装置料込み)
-
基本矯正料750,000円
-
ホワイトワイヤー(表側の矯正装置)850,000円
-
舌側矯正+ホワイトワイヤー(上顎が舌側、下顎が表側)1,050,000円
-
舌側矯正(裏側の矯正装置)1,200,000円
-
部分矯正200,000円〜
※矯正治療を終了後に装置を再作成する際は1装置あたり3,000円(税込)をお支払いいただきます。 -
-
保定装置・管理料
-
矯正治療を行う上で重要な保定装置を作製する場合があります。保定装置料(1本)6,000円〜
-
治療終了後、歯並びを安定させるための装置です。保定装置(ワイヤータイプまたはマウスピースタイプ)50,000円
※料金表の価格は全て税込み価格です。 -
-
小児矯正(こどもの矯正)
-
矯正相談無料
-
歯の型、頭、顎、顎骨のレントゲン、顔や口の中の写真を撮ります。検査・診断30,000円
-
取り外しできる装置を用いて行う矯正治療。すでに生えている永久歯の不正を治し、上下一定のバランスを整え、これから生えてくる永久歯がきれいに収まるように誘導します。 将来の本格矯正を避けられるようサポートします。第Ⅰ期治療(乳歯と永久歯の混合歯列期の治療)300,000円〜
-
1本1本の歯を動かしながら、マウスピース型矯正装置やワイヤーを用いて歯並びを整え、正しい噛み合わせをつくります。第Ⅱ期治療(永久歯が生え揃った後の全体的な治療)450,000円〜
-
矯正治療開始後、ご来院時にお支払いいただきます。矯正管理料5,000円
-
治療終了後、歯並びを安定させるための装置です。 ワイヤータイプまたはマウスピースタイプ保定装置50,000円
※料金表の価格は全て税込価格です。
※Ⅰ期治療においてマウスピース型矯正装置を使用する場合:450,000円
※Ⅱ期治療においてマウスピース型矯正装置を使用する場合:500,000円
※Ⅰ期治療後にⅡ期治療の料金を支払う場合:800,000円 -
