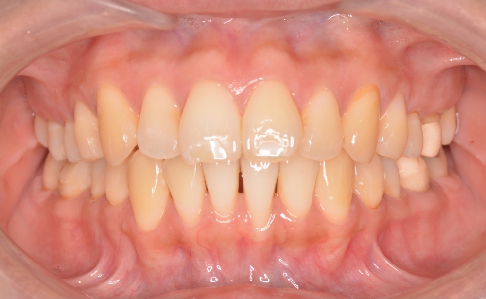
叢生をマウスピース矯正で改善した症例


| 年代 | 30代 |
|---|---|
| 性別 | 女性 |
| 治療期間 | 1y5m |
| お悩み | ガタガタが気になる |
| 矯正法 | マウスピース矯正 |
| 治療のリスクについて | 1日20時間以上の装着が必要のため、時間管理が必要です。 歯が動いていくことによる、痛みがあります。また、歯肉が退縮するリスクもあります。 週に一度、新しいマウスピースに交換していきました。替えてから1〜2日は痛みがあったそうですが、段々と慣れていったそうです。20時間以上の装着が必要なため間食が減ったそうで、ダイエットにもなったそうです。 |
| 費用 | 精密検査………………………39,600円 インビザライン………………880,000円 2〜3ヶ月に1度の調整料………5,720円 後戻り防止のリテーナー ……33,000円 |
※すべて税込
