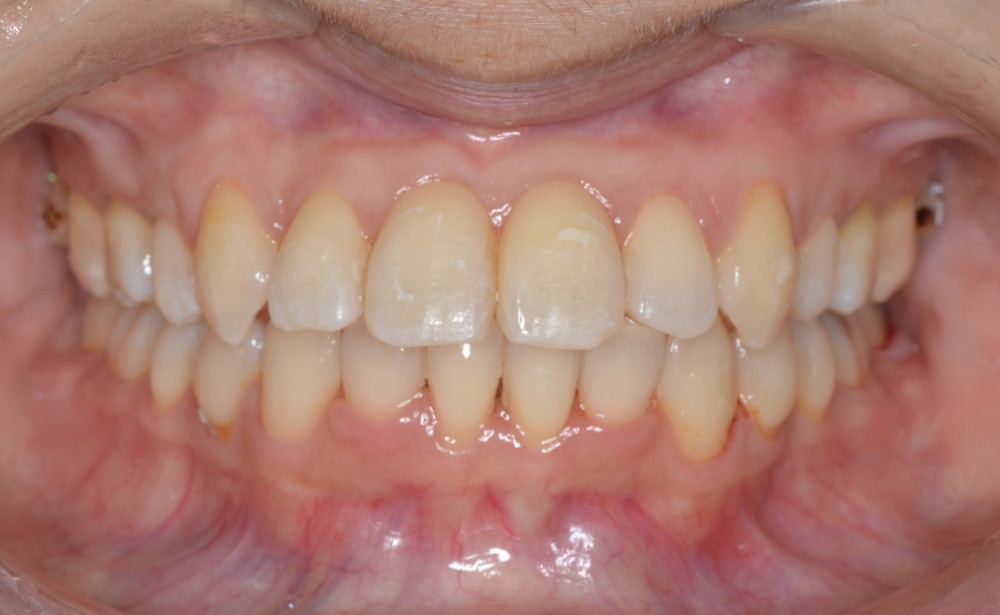
【叢生】上の歯2本を抜歯しての矯正

年代30代
性別女性
治療期間2y9m
お悩み上下のガタガタと噛み合わせが気になる
矯正法上の歯2本を抜歯しての矯正
治療のリスクについて歯を動かす事による痛みがあります。また、装置に慣れるまでは、口内炎ができやすいです。
歯肉が退縮するリスクがあります。装置が全ての歯に付くので、ハミガキが難しくなります。
この患者様のケースは、ガタガタが強かったことや、抜歯したスペースを埋めるのに時間がかりました。ホームケアも大変だったと思いますが、とてもきれいに並びました。
費用精密検査………………………39,600円メタルワイヤー矯正………880,000円
月に1度の調整料………………5,720円
後戻り防止のリテーナー……33,000円
Case

症例紹介

PAGE TOP